Husband stabbed her in heart during argument

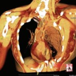
Photos taken during a forensic autopsy show a 41-year-old woman who died as a result of a stab wound to the heart. During an escalated argument, her husband grabbed a knife in a fit of rage and killed her with a single stab. The blade penetrated into the left ventricle, leading to a large accumulation of blood in the pleural cavity and the pericardium.

Do you have more informations?
Do you have more photos or videos?
Can you provide us (better) translation?
ADD INTO POST
Profile photo of777_

/ 5.

3.6 /5
777_

 Date: 26/01/2026  Views: 25198  Comments: 3  Votes: 12

 Category: Murders

 Tags: autopsy, husband, morgue, Photos, stabbed, wife, Women content

You may also like...
Opinions of users in comments section may not always coincide with those of GoreCenter. Comment politely and respectfully.
guest
3 Comments
Most Voted
Newest Oldest
Inline Feedbacks
View all comments