Fifty-two-year-old woman who had until then been considered completely healthy came to the doctor because of severe pain in the right upper part of her mouth. The wound after a recent tooth extraction was not healing at all, and the pain was so intense that it worsened when she bent forward. A week earlier, her dentist had extracted several teeth in the upper right jaw because they were painful and loose. At that time, however, nothing suggested anything serious – there was no swelling, ulcers, or visible changes of the mucosa.
The woman was not taking any medications, had no known illnesses, no allergies, and did not smoke or drink alcohol. Despite this, her condition rapidly worsened. In addition to unbearable pain, she began to notice partial blockage of her right nostril. She had no cough, no discharge from the nose or mouth, was not intentionally losing weight, but overall appeared very exhausted and weakened. She also had an elevated temperature.
During examination, doctors found an extensive area of dead tissue in the right upper jaw. The damage extended from the canine tooth backward beyond the last part of the jaw, toward the midline of the palate and into the gum area. The surrounding mucosa appeared relatively normal at first glance, which was deceptive. On palpation, the maxillary sinus area was also painful, and signs of inflammation and a small amount of pus were present in the right nasal cavity.
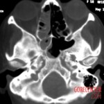
Further examinations, including blood tests, did not reveal diabetes or other common conditions that could explain the symptoms. However, it was evident that the body was fighting a severe infection. A crucial turning point came with a CT scan, which revealed extensive damage to the maxillary bone and spread of inflammation into the paranasal sinuses, including the deeper ones. Fortunately, the brain and eye sockets were not yet affected.
If after a tooth extraction a wound does not heal, pain worsens instead of improving, or fever, marked weakness, or nasal or sinus problems appear, it is necessary to seek medical attention immediately. It is not true that severe pain after a procedure is always “normal”. Situations are especially alarming when the pain radiates, worsens when bending forward, or is associated with tissue necrosis.



