65-year-old man with a history of squamous cell carcinoma of the scalp was admitted to the hospital with severe anemia and a large mass on the right side of his face, along with a smaller mass above his right parotid gland. He first noticed a small lump in 2020. Its growth was slow, but due to the COVID-19 pandemic, he could not receive timely medical care. Frustrated, he attempted to remove the mass at home with a knife, but it grew larger and began to bleed. During a fall at home, he sustained further injury, worsening the bleeding.
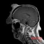
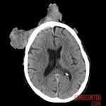
At the hospital, he presented with a large, foul-smelling mass with chronic bleeding, which blocked his right eye and caused significant eyelid swelling. Imaging revealed a malignant mass invading the skull and frontal sinus, along with a separate mass above the right parotid gland. Biopsy confirmed squamous cell carcinoma.
The patient received blood transfusions, stabilizing his condition. Further examinations showed no metastases. Doctors recommended surgical removal of as much of the facial and parotid mass as possible, followed by radiotherapy and immunotherapy. The right eye will likely need to be removed, and the patient will lose function of the right facial nerve, resulting in permanent drooping of the right side of his face.



